{DM_AfterTag}
親子

如何預防寶寶得奶瓶嘴,媽媽們別再不當一回事了!

{DM_AfterTitle}
{DM_Content}

大家好,我是小寶貝媽媽經小編CA!今天要來說說關於「預防寶寶得奶瓶嘴,媽媽們別再不當一回事了!」的事!不知道大家對於這個有多了解呢?一起來看看吧!

 

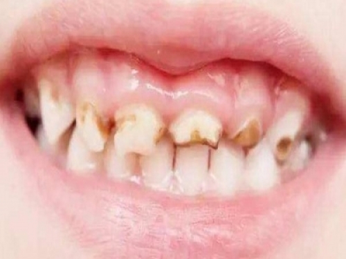
什麼叫奶瓶齲呢?奶瓶齲是指寶寶已經長了牙齒,但還在用奶瓶吃奶,部分寶寶因為護養不到位,已長出的牙變成又黑又尖的爛牙根,這就是奶瓶齲所造成的。奶瓶齲的發生大多是因為家長沒有掌握正確的餵奶方法兒造成的,所以掌握正確的餵養方法才是關鍵。那麼,如何預防寶寶得奶瓶齲呢?

(source: toutiao)

 

奶瓶齲是怎麼產生的?

寶寶生長到一定的階段,我們會使用奶瓶餵奶。在餵奶時,由於奶嘴恰好放在寶寶上下門牙的中間,奶頭頂在顎部,吮吸奶液時,幾乎能使所有門牙都浸泡在奶液裡或糖水裡,而奶瓶內多為牛奶、砂糖、果汁等易產酸發酵的飲料,在寶寶吸奶獲得營養的同時,口腔的細菌也借有利條件而生長繁殖起來。

336x280

(source: toutiao)

 

如果餵奶不定時,無限延長牙齒在奶液裡浸泡的時間;或為圖省事,哄寶寶含著奶瓶入睡;或餵奶後,寶寶很快入睡,無法清理口腔,使口腔內腐蝕牙體的細菌大量繁殖,久而久之牙齒脫鈣、牙冠剝脫,形成殘根或牙渣。奶瓶齲主要發生上頜乳切牙的脣面,且較易發展成廣泛性齲。但奶瓶齲少見於下頜乳前牙,可能與吸吮時下頜、下脣的運動、奶嘴所附牙面的位置在近舌下腺和頜下腺導管的開口等等因素有關。

(source: toutiao)

 

奶瓶齲的治療方法:

若有條件時應儘量作修復治療,因為藥物治療並不能恢復牙體外形,僅起抑制齲蝕進展的作用。乳牙齲蝕後,可致咀嚼功能降低。多個牙牙冠破壞嚴重時,可致乳牙冠長度縮短、咬合高度降低,對頜面的正常生長髮育及恆牙列的形成均帶來不良影響。故去除病變組織,恢復牙體外形、提高咀嚼功能的修復治療也是重要的。

336x280

(source: toutiao)

 

預防方法:

1、良好的餵養習慣

兩歲以後應減少使用奶瓶餵養,餵養後應及時清潔口腔,最好晚上刷牙後不再餵食。

2、正確掌握刷牙方法

寶寶出生後6個月左右,乳牙一旦萌出,在每次哺乳或餵食後,家長就應把紗布套於食指上,用清水擦洗牙面。隨著乳牙萌出,先由家長代為刷牙,並培養幼兒對刷牙的興趣。隨著幼兒的成長,在家長的幫助和督促下使其逐漸正確的掌握刷牙方法。

336x280

(source: toutiao)

 

3、飲食管理

兒童不宜過多攝取蔗糖。一日飲食中應控制點心和零食的次數和量,以僅佔一日所需能量的10-15%為宜。嚴格控制含糖飲料特別是碳酸飲料的攝入。

4、定期口腔檢查

兒童時期建議每3個月要到醫院進行口腔檢查,及時處理髮現的口腔問題。

5、合理使用氟化物

在醫生的指導下,口腔區域性使用氟化物。氟化物能增強牙的抗酸性,對齲損再礦化有促進作用,又因能抑制細菌及酶的作用,進而抑制口腔內產酸等,對齲的預防和抑制作用早已被肯定。

(source: toutiao)

 

看完後是不是覺得CA小編在小寶貝媽媽經分享的親子生活文章很好呢?想看更多好文,或是喜歡小寶貝媽媽經的文章的話,可以按讚追蹤並分享這篇「預防寶寶得奶瓶嘴,媽媽們別再不當一回事了!」出去給大家一起看看喔!

Reference:
{DM_NextToContent}
{DM_AfterContent}

看更多!請加入我們的粉絲團

轉載請附文章網址

不可錯過的話題

{DM_BodyEnd}